近日,郑州大学五附院儿童康复医学科收治了一名因误饮用山豆根茶中毒而导致运动和言语障碍的花季少女。
女孩郭某(化名)今年11岁,2018年1月18日,误饮用山豆根茶(含量约为50g)后,出现口角紧闭,随后出现昏迷,紧急到当地医院洗胃处理,未见明显改善。随后转院到北京市307医院解毒中心进行就诊,诊断为中毒性脑病。女孩虽然清醒了,但无法说话,竖头不稳,不能独坐,四肢肌张力增高,于近日来到儿童康复医学科寻求进一步康复治疗。

▲ 患者郭某紧张时出现四肢肌肉严重痉挛,患儿非常痛苦

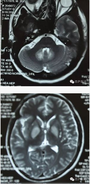
▲ 患者郭某中毒后头颅MRI表现提示基底节区对称性异常信号
了解山豆根
山豆根是豆科植物越南槐的干燥根和根茎。味苦,性寒;有毒。具有清热解毒,消肿利咽之功效,常用于火毒蕴结,乳蛾喉痹,咽喉肿痛,齿龈肿痛,口舌生疮。但临床使用中却频频发生中毒事件,值得注意!


山豆根中毒在临床中并不少见。大多数都是在服用中药山豆根后出现头晕和行走不稳症状,头颅磁共振多见小脑齿状核对称性病变。这种轻微的病变在应用激素治疗后往往恢复较好,症状可以完全缓解。但严重的山豆根中毒可以造成脑干、小脑、基底节区及大脑皮层的对称性病变,这种病变往往会症状较重,恢复效果很差。

药典规定的山豆根常用剂量为3~9g。近年来山豆根中毒患者较多见,尤其是超量服用或长期服用者较容易发生严重病变。现代药理研究表明山豆根主要含生物碱及黄酮化合物,生物碱有槐果碱、苦参碱、氧化苦参碱等多种生物碱,黄酮类包括柔枝槐酮、柔枝怀素等。山豆根为豆科植物越南愧的根及根茎。该品种存在全国性的同名异物混乱现象,这也是中毒容易发生的原因之一。
曾经在北京、天津等地发生过饮用自配的含山豆根的方剂以预防感冒,结果造成数起百余人中毒事件,其中死亡4例。
山豆根中毒量的个体之间的差异较大。一般在10g以上便容易引起中毒,少数病人服用6g亦可出现毒性反应。
山豆根中毒反应多在服药后5分钟至半小时内出现,亦有几小时后出现的。另外,煎煮时间延长,则毒性显著增加,可能与所含神经毒成份有关。
出现神经系统症状的患者,如果仅仅是出现头晕、行走不稳症状,头颅磁共振出现小脑齿状核病变的,应该应用糖皮质激素进行治疗,多数疗效较好。对出现颅内广泛病变的患者,也应该早期开始使用激素治疗。但此类患者往往效果较差。
提醒:山豆根中毒后应及早的进行康复治疗,争取早日将患儿回归社会。目前郭某紧张情绪已被控制住,在郑州大学五附院儿童康复医学科进行运动疗法、作业疗法、物理因子治疗、中医康复疗法及水针位点注射等综合性康复治疗。目前的治疗原则是降低肌张力,提高拮抗肌的收缩;扩大关节活动度;抑制异常姿势反射,学会主动运动;提高平衡能力;鼓励进行自发的活动;诱发随意性的、分离性的运动。
本文章重在提醒大家,山豆根虽然有具有清热解毒,消肿利咽之功效,但容易中毒,不可随便食用,应在医师的指导下应用。同时注意照看好您家宝宝,不让悲剧再次发生。切记切记!
来源:儿童康复医学科 郑瑞娟
宣传科编辑整理