近日,郑州大学第五附属医院神经外科四病区郭永坤主任团队,成功为一名罹患帕金森病11年的67岁患者,实施了方向性八触点双靶点闭环脑深部电刺激术(aDBS)。
手术采用亚毫米级精准植入技术,将刺激电极精准送达丘脑底核(STN)与黑质网状部(SNr)双靶点,并首次启用了闭环神经调控系统。这标志着医院帕金森病治疗从传统“开环刺激”迈入“按需智能调控”的精准神经调控新时代,为中晚期帕金森病患者突破药物疗效瓶颈提供了全新解决方案。

▲ 手术植入电极
一、药物疗效减退
多学科评估锁定手术契机
患者为67岁男性,因“四肢僵硬、行动迟缓11年,加重1周”入院。其病史典型,症状从右上肢僵硬逐渐发展为双侧肢体受累,伴有行走不稳、步距缩短、面部表情减少等表现。
虽长期服用药物,但近期出现了明显的“剂末现象”——药物有效时间缩短,每日下午症状加重,并伴有头晕、心慌、便秘、睡眠障碍等不适。
术前评估显示,患者UPDRS-III评分经美多芭负荷试验计算,药物最大改善率为30%,提示大脑多巴胺能系统仍保留一定储备功能。经神经外科、神经内科、医学影像科、麻醉科等多学科团队(MDT)联合会诊,结合各项检查结果,排除手术禁忌,确认患者符合DBS手术指征。
二、技术突破
精准个体化治疗
针对患者病情,郭永坤主任团队经反复研讨,最终确定采用国际前沿的方向性八触点双靶点DBS刺激技术,精准选择丘脑底核(STN)与黑质网状部(SNr)作为刺激靶点。
双靶点协同,破解治疗难题:高频刺激STN可有效改善肢体僵硬、运动迟缓等核心症状;低频刺激SNr则能针对性“解锁”冻结步态。二者协同作用,为中晚期患者常见的步态障碍提供了更优解决方案。
八触点方向性电极,提升精准度:与传统四触点电极相比,八触点电极支持分频驱动模式——同一根电极可输出两种互不干扰的频率,同时刺激不同靶点。结合术前MRI与术后CT融合重建技术,可实现可视化程控,大幅提升治疗精准度与调试效率,有效减少电流扩散带来的副作用,真正实现“一人一策”的个体化治疗。
三、核心亮点
“智能感知、按需刺激”
此次手术的最大突破,在于启用了闭环DBS系统(aDBS)——这一被誉为 “智能大脑起搏器” 的前沿技术。
传统DBS(开环)采用持续不间断的电脉冲刺激,如同一直开着的水龙头,无论患者处于活动、休息还是睡眠状态,刺激强度恒定不变。而闭环DBS系统内置智能感知芯片,能够实时“监听”大脑局部场电位,自动识别帕金森病相关的异常脑电信号(如β频段振荡),并根据脑电波动自动调整刺激参数:症状加重时自动增强,症状缓解时自动减弱,实现“按需供给”的智能调控。
这种动态调控模式带来多重获益:
更智能:实时感知脑电变化,毫秒级响应,避免过度刺激或刺激不足。
更精准:与亚毫米级电极植入技术相结合,实现靶点定位与神经调控的双重精准。
更持久:按需刺激模式大幅降低能耗,脉冲发射器电池寿命显著延长,减少更换手术频率。
更舒适:减少异动症等副作用,提升患者日常活动能力与睡眠质量。
四、精准植入
亚毫米级“命中”确保疗效
丘脑底核(STN)与黑质网状部(SNr)作为神经调控的关键靶点,区域狭小、解剖结构复杂,对植入精度要求极高——哪怕0.5毫米的偏差,都可能影响疗效或引发副作用。
为确保精准度,团队采用立体定向头架联合薄层高分辨率CT三维融合重建技术,精准规划电极植入路径;在双侧大脑半球各使用4个微电极通道,通过多轨迹神经电生理记录实时捕捉核团特征性电信号;并结合术中电生理监测复核,确保电极精准抵达双靶点预设位置。
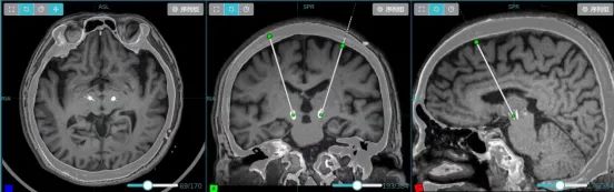
术后复查CT与术前规划影像融合比对显示,DBS电极植入位置与双靶点完全吻合,手术精准度达到预期。患者生命体征平稳,无出血、感染等并发症,肢体活动如常,微毁损效应显现,肢体僵硬缓解。

▲ 薄层MRI和CT融合重建 ,显示电极完美精准植入
五、术后调控
闭环系统开启个体化智能治疗
按照个体化诊疗计划,团队于术后1月正式启用闭环DBS系统。开机后患者走路如常人,四肢僵硬感消失。老大爷激动地说:“好几年没有这样走路了。”
与传统DBS需要医生根据患者反馈反复调试参数不同,闭环系统将进入“智能感知+自动调控”模式。患者无论行走、静坐还是睡眠,都能获得“量身定制”的神经调控,大幅度提升生活质量。
高频刺激丘脑底核,缓解肢体僵硬与运动迟缓。
低频刺激黑质网状部,“解锁”冻结步态。
系统内置感知芯片实时监测脑电波动,自动匹配合适刺激强度,实现“脑电变化-刺激调整”的毫秒级响应。
六、诊疗体系升级
精准调控、按需供给
帕金森病是中老年群体高发的神经系统退行性疾病,我国现有患者约300万人,每年新增病例超10万。作为一种慢性进展性疾病,早期可通过药物有效控制症状,但病程超过5—8年的患者,大多会出现药物疗效减退、症状波动及异动症等问题,晚期甚至因全身僵硬、无法行走而失去生活自理能力。
过去,中晚期帕金森病患者常陷入“药物无效、无术可施”的治疗困境。此次闭环DBS手术的成功实施,是医院帕金森病诊疗水平的重要突破。
神经外科四病区已构建起多模态个体化评估体系,通过UPDRS评分量化运动症状、3.0T MRI解析脑内解剖、神经电生理监测捕捉异常环路信号、美多芭冲击试验评估药物反应,结合患者年龄、病程、基础疾病等因素,大幅提升手术指征判断的精准性。
同时,团队建立了分层递进的综合治疗方案:
早期患者:采用“药物优化+康复干预+生活方式指导”的综合管理,延缓病情进展。
中晚期患者:根据症状特点与基础疾病情况,精准定制闭环DBS手术方案,实现“一人一策”的个体化智能调控。
术后管理:建立长期随访+远程程控体系,动态优化刺激参数与药物配伍,让患者持续获益。
从传统药物对症缓解,到DBS技术的精准神经调控,再到如今闭环DBS的智能按需刺激,郑州大学第五附属医院神经外科四病区始终以技术创新为核心、以患者需求为导向,不断推动帕金森病诊疗的精准化、智能化、规范化发展。
此次亚毫米级精准植入的闭环DBS手术,不仅为合并基础疾病的帕金森病患者带来重启流畅人生的希望,更让“智能感知、按需调控”的前沿神经调控理念惠及更多患者,为广大帕金森病患者点亮康复之路。
来源:神经外科四病区 郭永坤
党委宣传统战部编辑整理