“今朝有酒今朝醉,
每天都要饮几杯”

这是王先生多年来的生活写照。他酷爱饮酒,每顿饭都离不开它,否则就茶饭不思。然而,这种看似“快意”的生活,却在半年后给了他沉重一击。
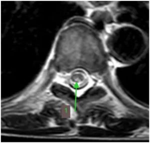
半年前,王先生开始感觉走路不稳,像踩在棉花上,还伴有肢体麻木无力。这些症状逐渐加重,最终他来到郑州大学第五附属医院神经内科二病区就诊。检查发现,他患有巨幼红细胞性贫血,维生素B12水平明显偏低。脊髓磁共振结果显示:胸段脊髓后索出现异常高信号(如图黄色箭头所示),轴位图上更是呈现出典型的倒“V”征(绿色箭头)。


结合肌电图、体感诱发电位等结果,王先生被确诊为 “亚急性联合变性” 。而这一切的罪魁祸首,正是他常年离不开的酒精。此时的美酒,对他来说已无异于一剂剂“毒药”。
什么是亚急性联合变性?
亚急性联合变性(简称SCD),是由于人体对维生素B12的摄入、吸收、结合、转运或代谢出现障碍,导致体内含量不足,从而引起的中枢和周围神经系统变性疾病。它主要损害脊髓后索、侧索及周围神经,导致感觉、运动功能异常。
维生素B12缺乏,原因有哪些?

饮酒为什么会引发亚急性联合变性?
王先生并没有上述典型的吸收或代谢疾病,为何也会患病?答案就在于长期饮酒。酒精会从多个途径导致维生素B12缺乏:
摄入减少:饮酒者常食欲减退、饮食不均衡,导致维生素B12摄入不足。
吸收障碍:酒精损伤胃黏膜,引起胃炎、胃酸和内因子分泌异常,直接影响维生素B12的吸收。
消耗增加:酒精在体内代谢过程中,会大量消耗B族维生素,包括维生素B12。
如何治疗亚急性联合变性?

治疗主要包括以下三个方面:
维生素B12补充治疗:及时、足量补充维生素B12(通常采用注射方式),是挽救神经功能的关键。
病因治疗:必须针对导致缺乏的根本原因进行处理。对于王先生而言,戒酒是治疗的核心前提。
对症支持治疗:针对肢体麻木、无力、行走困难等症状,可配合康复治疗、神经营养药物等,并积极处理贫血等并发症。
如果出现不明原因的肢体麻木、行走不稳、乏力,尤其是有长期饮酒、胃肠疾病或素食习惯的人群,应尽早到医院就诊,进行维生素B12水平等相关检查,做到早诊断、早治疗,避免神经系统发生不可逆的损伤。
(部分图片素材来源网络,侵权即删)
来源:神经内科二病区 王利军
党委宣传统战部编辑整理